ВЕРСИЯ ДЛЯ СЛАБОВИДЯЩИХ
ЭМБЛЕМА ДИСПАНСЕРА

Казeнное учреждение

Ханты-Мансийского автономного округа - Югры

"Сургутский клинический противотуберкулeзный диспансер"

Многоканальный телефон:

8 (3462) 55-05-04

Контакт-центр:

8 (3462) 55-06-59

Адрес:

628456,
ХМАО- Югра, г. Сургут,
Тюменский тракт, 27
СХЕМА ПРОЕЗДА


Обращения граждан:

Создать обращение

Адрес электронной почты:

E-mail:hmaotd@surguttub.ru

Почему так важна флюорография?


Туберкулез – инфекционное заболевание, вызываемое различными видами микобактерий или иначе палочками Коха. Источником инфекции являются больные активной формой туберкулеза, люди и животные. Устаревшее название туберкулеза – чахотка (от слова «чахнуть»). До ХХ века заболевание было практически не излечимо.


Туберкулез обычно поражает легкие, реже затрагивает другие органы и системы. Заболевание передается, прежде всего, воздушно-капельным путем при:

• разговоре;

• кашле;

• чихании больного;

• также возможны алиментарный, трансплацентарный, и контактный пути передачи.

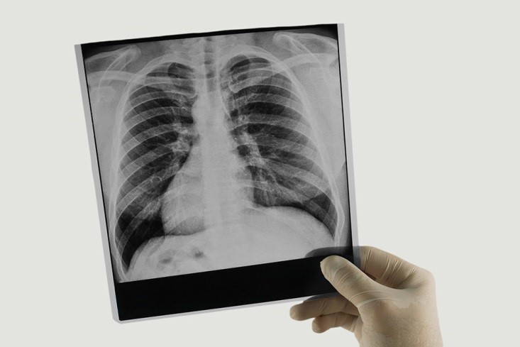
Большую эффективность для раннего выявления и профилактики туберкулеза имеют массовые флюорографические обследования взрослого населения. ФЛГ легких позволяет выявить туберкулез еще на ранней стадии, когда симптомы заболевания не проявляются и диагностика болезни затруднительна. Флюорография – рентгенологическое исследование, заключающееся в фотографировании видимого изображения на флуоресцентном экране, которое образуется в результате прохождения рентгеновских лучей через тело и неравномерного поглощения органами и тканями организма.


Цель – целенаправленное массовое обследование, выявляющее: o скрыто протекающие заболевания легких (туберкулез, пневмокониозы, неспецифические воспалительные заболевания и опухоли легких); o поражения плевры и средостения, диафрагмы, крупных сосудов, ребер, сердца.


Работникам образовательных организаций и обучающимся необходимо проходить флюорографическое обследование не реже 1 раза в год с целью выявления туберкулеза на ранних стадиях.


Это обследование помогает не только своевременно обнаружить первые признаки туберкулеза, но и выявить незначительные новообразования в бронхиальном дереве, сердце и сосудах. Именно посредством флюорографии можно случайным образом обнаружить небольшую опухоль.


Абсолютных противопоказаний к флюорографическому обследованию нет. Относительные противопоказания – тяжелое состояние пациента и беременность. Кормящим мамам желательно делать цифровую флюорографию, после исследования необходимо 3-4 раза сцедить молоко, после чего можно кормить малыша.


Детям флюорографию назначается по достижении 15-летнего возраста из-за некоторого воздействия радиации, которая при этом не носит угрожающего характера для окрепшего подросткового организма.


Сайт разработан Ведущим инженером КУ "Сургутский противотуберкулезный диспансер" г. Сургут 2018 год